Formerly Gutsche Orthodontics

Before and After

SMILE TRANSFORMATIONS THAT SPEAK FOR THEMSELVES

See the real results of expert orthodontic care. Explore our before and after gallery to witness the incredible smile transformations our patients have achieved at Worthington Orthodontics.

REAL RESULTS.
REAL CONFIDENCE.

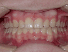
BEFORE
Before Orthodontic Treatment Worthington Orthodontics in Paoli, PA
AFTER
After Orthodontic Treatment Worthington Orthodontics in Paoli, PA
BEFORE
Before Orthodontic Treatment Worthington Orthodontics in Paoli, PA
AFTER
After Orthodontic Treatment Worthington Orthodontics in Paoli, PA
BEFORE
Before Orthodontic Treatment Worthington Orthodontics in Paoli, PA
AFTER
After Orthodontic Treatment Worthington Orthodontics in Paoli, PA
BEFORE
Before Orthodontic Treatment Worthington Orthodontics in Paoli, PA
AFTER
After Orthodontic Treatment Worthington Orthodontics in Paoli, PA
BEFORE
Before Orthodontic Treatment Worthington Orthodontics in Paoli, PA
AFTER
After Orthodontic Treatment Worthington Orthodontics in Paoli, PA